
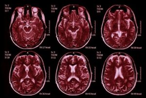
Noticias Médicas: Científicos revelan por qué muchas personas permanecen agotadas tras una hospitalización por COVID-19. Un importante estudio reciente, realizado por importantes instituciones de investigación alemanas, arroja luz sobre por qué tantas personas continúan luchando contra el cansancio crónico y la confusión mental meses después de sobrevivir a una infección grave por COVID-19. Este informe de Noticias Médicas destaca los hallazgos de investigadores de la Charité–Universitätsmedizin de Berlín, la Escuela de Mente y Cerebro de Berlín de la Universidad Humboldt de Berlín, el Hospital Universitario LMU de Múnich, el Hospital Universitario de Würzburg, la Universidad de Colonia, el Centro Médico Universitario de Schleswig-Holstein, la Universidad Justus-Liebig de Giessen, la Universidad Goethe de Fráncfort y varios institutos colaboradores del Centro Alemán de Investigación Pulmonar y el Centro Alemán de Enfermedades Neurodegenerativas. Su trabajo proporciona una de las evidencias más claras hasta el momento de cambios físicos duraderos dentro del cerebro.
LEER NOTICIA ORIGINAL COMPLETA EN INGLÉS:
https://www.thailandmedical.news/news/post-covid-fatigue-linked-to-lasting-brain-tissue-loss